Отново дойде ред на една от най-харесваните рубрики в ефира на телевизия „Евроком“, а именно „Образователен здравен университет“. В предаването „Академия Здравитал“ водещият професор доктор Христо Деянов акцентира към важни състояния и нозологични единици – хидроцефалия, хемофилия и хаматурия.
Хидроцефалия
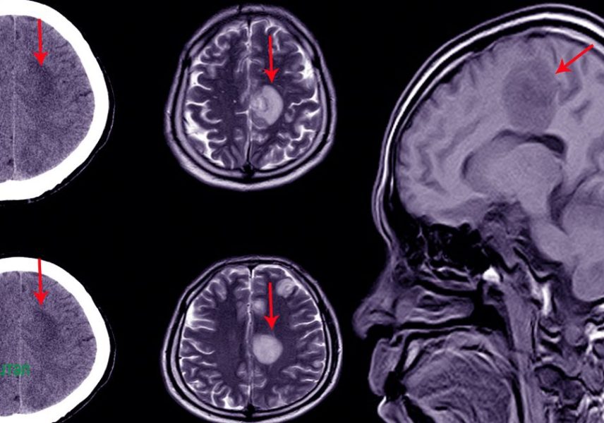
Както в повечето медицински термини, хидроцефалия произлиза от гръцки език. Думата „хидро“ означава „вода“, а „цефалус“ значи „мозък“. Състоянието е свързано с повишено количество секретирана, синтезирана, отделена цереброспинална течност в мозъка. Дълбоко в средата му се намират анатомични структури. Тяхното име е „мозъчни стомахчета“. Точно те произвеждат споменатата течност. Тя има много функции и се разпространява надолу по гръбнака в гръбначния мозък. Практически, структурите винаги биват обвити в течност, служат за подхранване.
По време на патологични състояния зоните започват да се разширяват и произвеждат повече от необходимата цереброспинална субстанция. Причините за проблема са няколко:
- Увеличена продукция на течността;
- Относително нарастване на мозъчните структури, поради възникнала атрофия. Тя се наблюдава много често в напредналите стадий на Алцхаймер;
- Невъзможност за отичане.
Преди всичко проблемът хидроцефалия е изразен в упражняване на повишено налягане около мозъчни дялове. Моментът неминуемо се свързва с хронично необяснимо главоболие. На помощ, независимо от пациентската възраст, идва образната диагностика, ядрено-магнитният резонанс.

Допълнителна информация
Хидроцефалията може да бъде вродена и придобита. Понякога вроденият вид хидроцефалия се наблюдава, спрямо раждане на бебетата, ако преди това в утробата на майката е имало някаква инфекция. Придобитата груба би могла да стане по всяко време от индивидуалния човешки живот. Най-честите инфекции, водещи до проблема, са: токсоплазмоза (остро паразитно заболяване) и рубеола (засяга предимно децата, с вирусни форми е). Засегнатите деца имат увеличен размер на черепа, защото все още няма срасналост във фонтанелите, костната структура е мека, а всяко едно повишено налягане променя големината. Понякога състоянието е несъвместимо с живота, а за малките момчета и момичета води до тотално оглупяване, редуцирана двигателна, сетивна активности.
Като друг основни предразполагащи фактори маркираме: хеморагията (кръвоизливи); неоплазмата (пространствените процеси в мозъка, туморите). Към тях добавяме травмите на главата – удари; падане, заради някакви инциденти. Съществува характерна клинична симптоматика: главоболие, нарушено равновесие, замъглен поглед, влошено зрение, повръщане, повишена раздразнителност, невъзможна концентрация, гърчове, промени в личността. Проявленията варират от леки, към средни, до тежки.
Лечение
Консервативната терапия не е особено ефикасна за тежките диагнози. Този тип лекуване включва диуретици, успокоителни, сънотворни (за нарушен сън и концентрация). Адекватната опция е неврохирургичната. Медицинската специалност се занимава със заболявания на нервната система, чрез хирургически методи. Терапията става благодарение на специални, скъпи изделия, те не са покрити изцяло от Здравната каса. Лекарите влизат в черепната кухина, отиват до мозъчните стомахчета и правят специален „шънт“ (връзка) с коремната кухина. Целта е повишеното отделяне да бъде насочено към перитонеума. Уредът винаги е индивидуален. Реално това представлява истинското, радикално, дълготрайно лечение. Некачествено контролираната хипертония също провокира повишен синтез на специфичната течност. Това важи особено в по-напредналата възраст, когато тъканите стават пропускливи, остарели.
Хематурия

Това е поява на кръв в урината. Причините за този проблем са комплексни. Първо болестта може да е безсимптомна, когато в кубически милиметър урина има ограничено количество еритроцита. Тогава още няма оцветяване. Повечето пъти хематурията идва от камъни в бъбреците (твърдите образувания – оксалатни и уратни). Камъните дразнят бъбречното легенче, пикочопровода, предизвикват разраняване. Ако дамите в менструационен цикъл забележат оцветяване, да не се плашат, възможно е кръвта да идва от матката.
Друга причина за хематурията е, когато камъкът тръгне по пикочопровода. Тогава вече уретерите са по-тесни, твърдата маса има ръбеста форма, тя наранява стената. Заболяванията на пикочния мехур отбелязваме като трети фактор. В тази зона образуванията дълго време може да са безсимптомни, тъй като не притискат нищо, но около всяко подобно място става възпаление, нарушаващ лигавицата. Поликистозата, туберкулозата, бъбречните и простатните тумори, венозната тромбоза, гломерулонефритът, пиелонефритът, простатитът – това са възможни заболявания, предизвикващи кръв в урината. Повишено внимание да има, ако проблемите дойдат към деца от една до пет години. Подобен тип здравословни проблеми изискват задължителна консултация с невролог или уролог – те са занимават с вътрешната медицина към отделителната система.
Други важни характеристики
За засегнатите пациенти от осем до десет години проверките да бъдат насочени към евентуални: пиелонефрит, гломерулонефрит, нефролитиаза, тумор на пикочния мехур или някъде в паренхима. Циститът има възпалителни моменти, той също е често срещан „отключващ“ момент за хематурия.
Мъжете, които имат хиперплазия (доброкачествено заболяване на простатата) и видят кръв, когато изпикават, също е добре да посетят лекар и да направят допълнителни изследвания. Повишено внимание да има и при аденом в същата зона (голяма концентрична хипертрофия), съчетан със специализираната червена телесна течност.
Нужно ли е хирургично лечение, терапията се поема от уролозите. А консервативната методика с лекарства (предимно антибиотично лечение) спира възпалителните процеси. Тогава задължително на помощ идва антибиограмата. Проверката показва какви налични бактерии има в проблемното място.
Хемофилия

Другото име е „Царска болест“. Наименованието идва от там, че още по времето на кралица Виктория в английския кралски двор е имало няколко болни. Заболяването се предава генетично, чрез половата хромозома „Х“. Пренасят го майките, но самите жени не боледуват, тъй като хемофилията има рецесивен характер. Диагнозата представлява нарушение в някой от факторите за кръвосъсирване – повечето пъти проблемен е фибриногенът. Фибриногенът се превръща във фибрин, залавя тромбоцити и други формени елементи, така идва кръвният съсирек. При болестта моментите са нарушени, ако пациентът се нарани сериозни и не му се окаже спешно помощ, кръвта му бързо изтича. Съществуват редица допълнителни фактори, играещи роля в тромбообразуването – протромбин, тромбокиназа, калций, фосфор, витамин К и други.
Ако един хемофилик си удари коленете, тъй като става вътреставно изливане на хематоми, коленните и лакътните стави на индивида остават деформирани вероятно завинаги. Съвременната медицина, със заместително лечение и вливане от фактори на съсирването, предотвратява крайните изменения.










Вашият коментар